पायरिया से बचाव के लिए करें ये उपाय


By Amrendra Kumar Yadav21, Mar 2024 03:56 PMjagran.com

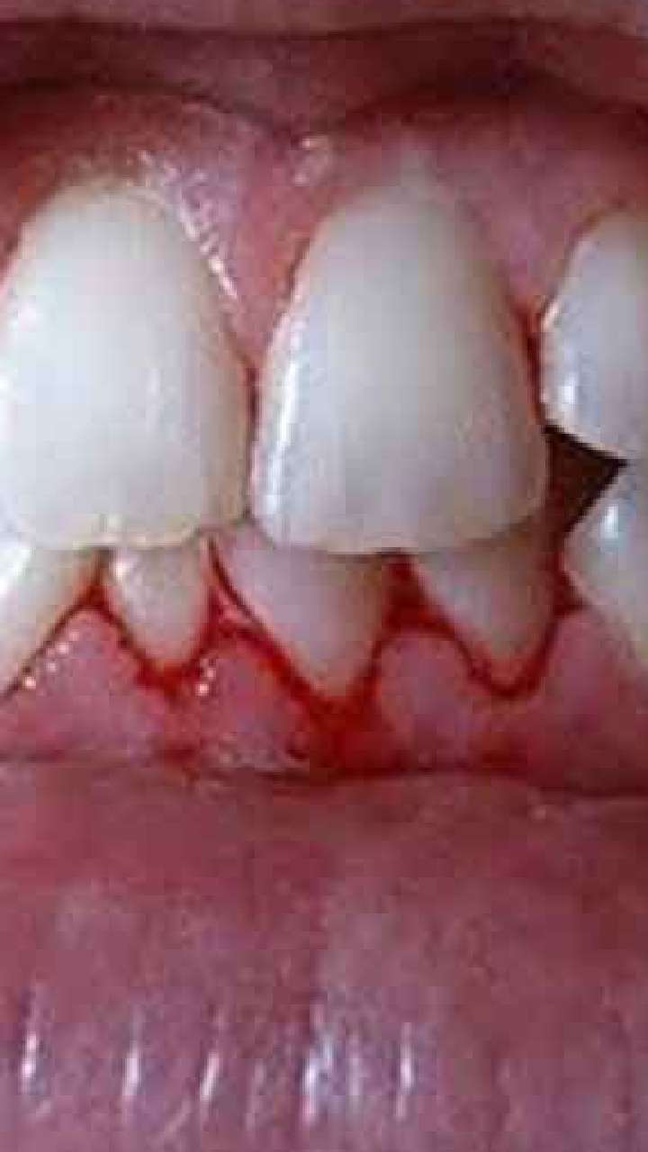
पायरिया की समस्या

आजकल बहुत से लोग पायरिया की समस्या से परेशान हैं, इसकी मुख्य वजह दांतों की सही से सफाई न करना है और ओरल हाइजीन का ध्यान न रखना है।

मसूढ़ों से आने लगता है खून

यदि समय पर इस समस्या का इलाज न किया जाए, तो इससे गंभीर समस्या होने लगती है, पायरिया की समस्या में मसूढ़ों से खून आने लगता है।

करें ये उपाय

ऐसे में मसूढ़ों को स्वस्थ रखने के लिए कुछ घरेलू उपाय अपनाए जा सकते हैं, इन उपायों के बारे में बताएंगे।

कच्चा पपीता है बहुत फायदेमंद

पायरिया की समस्या में कच्चा पपीता बहुत फायदेमंद होता है, इसमें विटामिन-सी पाया जाता है, जो दांतो के लिए स्वास्थ्य के लिए अच्छा होता है। इससे मसूढ़ों से खून नहीं आता है।

संतरे के छिलकों का करें इस्तेमाल

अगर पायरिया की समस्या से परेशान हैं तो इससे राहत के लिए संतरे के छिलकों का इस्तेमाल कर सकते हैं, इसके लिए संतरे के छिलकों को मसूढ़ों पर रगड़ें।

दिन में 2 बार करें

मसूढ़ों से खून आता है तो इसका इस्तेमाल 2 बार करें, संतरे के छिलकों के अलावा नींबू के छिलकों का भी इस्तेमाल कर सकते हैं।

अमरूद की पत्तियां चबाएं

पायरिया से राहत के लिए अमरूद की पत्तियां बहुत फायदेमंद होती हैं, अमरूद की पत्तियों को साफ कर चबाएं, ऐसा करने से मसूढ़ों से खून आना बंद होता है। इसके अलावा दांत साफ और हेल्दी रहते हैं।

सरसों के तेल में नमक मिलाएं

सरसों के तेल में नमक मिलाकर दांतों और मसूढ़ों में लगाने से पायरिया से आराम मिलता है, ब्रश करने के बाद ये उपाय करें और थोड़ी देर लगा रहने के बाद कुल्ला करें।

पायरिया से बचाव के लिए ये उपाय किए जा सकते हैं, लाइफस्टाइल से जुड़ी ऐसी ही अन्य खबरों के लिए पढ़ते रहें Jagran.Com